경동맥 초음파 검사로 알 수 있는 병, 비용
경동맥 초음파란 무엇인가
경동맥 초음파 검사는 목 양쪽에 위치한 경동맥의 혈류 상태와 혈관 벽의 두께, 그리고 동맥경화 정도를 확인하기 위해 시행되는 비침습적 영상 검사입니다. 경동맥은 뇌로 혈액을 공급하는 주요 혈관으로, 이곳에 이상이 생기면 뇌졸중, 일과성 허혈 발작 등 중대한 질환으로 이어질 수 있습니다. 특히 증상이 나타나기 전 조기 진단이 가능하다는 점에서 예방적 의미가 매우 큽니다.

초음파 검는 인체에 해롭지 않으며, 조영제나 방사선을 사용하지 않기 때문에 고령자나 만성질환자에게도 안전하게 시행할 수 있습니다.
주요 경동맥 초음파 검사로 알 수 있는 병
경동맥 초음파는 단순히 혈관이 막혔는지를 확인하는 데 그치지 않고, 혈관 벽의 두께 변화나 혈류 패턴을 분석해 다양한 질환을 조기에 발견할 수 있습니다.

- 경동맥 협착증(Carotid stenosis): 혈관 내벽에 콜레스테롤과 지방이 쌓여 혈관이 좁아지는 질환으로, 뇌혈류가 감소해 뇌졸중 위험을 높입니다.
- 죽상동맥경화증(Atherosclerosis): 혈관 벽이 두꺼워지고 탄력성이 떨어지면서 혈류가 감소하는 상태로, 고혈압·고지혈증과 밀접한 관련이 있습니다.

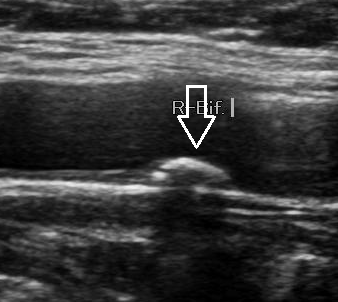
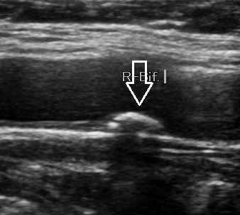
- 경동맥 플라크(atheromatous plaque): 초음파 영상에서 관찰되는 지방침착물로, 단단한 석회화 플라크는 혈관 내피를 손상시키고 혈전 형성을 유발할 수 있습니다.

- 혈전(Thrombus): 혈관 내부에 형성된 응고된 혈액 덩어리로, 혈류를 막거나 떨어져 나가 뇌혈관을 폐쇄할 위험이 있습니다.
- 혈류역전(Flow reversal): 혈류가 비정상적인 방향으로 흐르는 현상으로, 심장 질환이나 대동맥 질환의 신호일 수 있습니다.
- 혈관 내막-중막 두께(IMT, Intima-Media Thickness) 증가: 동맥경화의 초기 단계에서 관찰되는 변화로, 심혈관계 질환 위험을 예측하는 주요 지표로 활용됩니다.



검사가 필요한 대상
경동맥 초음파 검사는 특정 증상이 있을 때뿐 아니라, 위험인자가 있는 사람에게 예방적으로 시행하는 것이 권장됩니다.
- 고혈압, 당뇨병, 고지혈증 등 만성질환이 있는 사람
- 흡연자 또는 과거 흡연자
- 가족 중 뇌졸중이나 심근경색 병력이 있는 경우
- 어지럼증, 일시적인 시야 장애, 팔·다리 마비 등의 증상이 나타나는 경우
- 50세 이상 중장년층에서 정기검진 목적으로
이 검사를 통해 아직 증상이 없더라도 뇌혈관 질환의 전조 신호를 조기에 발견해 관리할 수 있습니다.

검사 과정과 소요 시간
검사 전 특별한 준비는 필요하지 않습니다. 일반적인 초음파 검사와 동일하게 젤을 목 부위에 도포한 후 탐촉자를 대고 양측 경동맥의 혈류를 확인합니다.

- 검사 시간: 약 10~20분
- 통증 여부: 없음(비침습적 검사)
- 검사 자세: 누운 자세에서 고개를 약간 뒤로 젖힌 상태로 진행
- 검사 후 바로 일상생활 가능

경동맥 초음파 검사 결과 해석
검사 결과는 다음과 같은 기준으로 평가됩니다.
- IMT 0.9mm 이하: 정상 범위로 판단
- IMT 1.0mm 이상: 동맥경화 진행 가능성 있음
- 50% 미만 협착: 생활습관 교정 및 약물치료 필요
- 70% 이상 협착: 수술적 치료(스텐트 삽입, 내막 절제술 등) 고려
결과지에는 혈류 속도, 혈류 방향, 플라크의 형태 및 위치 등이 함께 기재됩니다. 영상 분석을 통해 플라크의 안정성 여부를 평가하면 향후 뇌졸중 위험 예측에도 도움이 됩니다.


경동맥 초음파 검사 비용
건강보험 적용 여부와 병원 규모에 따라 차이가 있지만, 일반적으로 경동맥 초음파 비용은 다음과 같습니다.
- 건강보험 적용 시: 약 2만~3만 원
- 비급여 항목(정밀검사 포함 시): 약 5만~10만 원 수준
- 종합병원 또는 대학병원: 10만 원 내외
- 건강검진센터 패키지 내 포함 시: 무료 또는 추가 3만 원 정도
단, 단순 스크리닝 목적일 경우 비급여로 분류되는 경우가 많으며, 의학적 필요성이 명확한 경우(예: 뇌졸중 의심, 고혈압성 혈관 손상 등)는 건강보험이 적용됩니다.


경동맥 초음파의 장점
- 방사선 노출이 없고 인체에 무해함
- 조기 진단 및 예방 관리 가능
- 시술이 간단하고 통증이 없음
- 재검사에 제약이 없음
- 심혈관 질환 예측 정확도가 높음
이러한 장점 덕분에 경동맥 초음파는 건강검진 항목 중에서도 ‘생명을 살리는 검사’로 불리며, 특히 중장년층과 고위험군에게 필수적입니다.


검사 주기와 관리 방법
경동맥 초음파는 혈관 건강의 변화를 추적하기 위해 정기적인 검사가 권장됩니다.
- 1년에 1회 정기검진: 고혈압·당뇨병 환자, 50세 이상
- 2년에 1회: 일반 성인, 위험인자 없는 경우
또한, 검진 결과 이상이 발견되면 다음과 같은 생활습관 관리가 중요합니다. - 포화지방, 트랜스지방 섭취 제한
- 채소, 생선, 통곡물 위주의 식단 유지
- 금연, 절주
- 규칙적인 유산소 운동
- 혈압, 혈당, 콜레스테롤 수치 관리


자주 묻는 질문(FAQ)
Q1. 경동맥 초음파는 통증이 있나요?
A. 통증이 전혀 없으며, 초음파 탐촉자를 목에 가볍게 대는 방식으로 진행됩니다.
Q2. 조영제를 사용하나요?
A. 사용하지 않습니다. 방사선 노출이 없는 안전한 검사입니다.
Q3. 검사 시간은 얼마나 걸리나요?
A. 보통 10~20분 내외이며, 검사 후 바로 귀가할 수 있습니다.
Q4. 검사 전 금식이 필요한가요?
A. 필요하지 않습니다. 식사와 상관없이 언제든 시행 가능합니다.
Q5. 뇌 MRI와 차이점은 무엇인가요?
A. MRI는 뇌 구조 이상을 확인하는 영상 검사이며, 경동맥 초음파는 뇌로 가는 혈류 통로의 이상을 확인하는 검사입니다. 서로 보완적인 역할을 합니다.
Q6. 결과는 바로 받을 수 있나요?
A. 대부분 검사 직후 또는 당일 결과 상담이 가능합니다.
Q7. 건강검진센터에서도 가능한가요?
A. 대부분 센터에서 가능하며, 심혈관 패키지 또는 뇌졸중 예방검진에 포함되어 있습니다.
Q8. 검사 결과가 나쁘면 바로 수술해야 하나요?
A. 협착 정도가 70% 이상일 때만 수술을 고려하며, 대부분은 약물치료와 생활습관 교정으로 관리 가능합니다.
Q9. 젊은 사람도 검사해야 하나요?
A. 고지혈증, 가족력, 흡연자 등 위험인자가 있다면 30대 후반부터도 권장됩니다.
Q10. 보험 적용 여부는 어떻게 확인하나요?
A. 병원에서 의학적 소견(증상, 고혈압 등)이 있을 경우 건강보험이 적용됩니다. 단순 건강검진 목적이면 비급여입니다.
결론
경동맥 초음파 검사는 뇌혈관 질환의 ‘조기경보 장치’라고 할 수 있습니다. 고혈압, 고지혈증, 당뇨병 등 대사질환을 앓는 사람이라면 반드시 정기적으로 검사받는 것이 좋습니다. 특히 50세 이상 중장년층은 증상이 없더라도 예방 차원에서 시행해야 뇌졸중이나 심근경색 같은 치명적 질환을 사전에 차단할 수 있습니다. 혈관은 한 번 손상되면 회복이 어렵기 때문에, 경동맥 초음파 검사는 생명 연장의 중요한 열쇠로 여겨집니다.
'건강 의료 질환' 카테고리의 다른 글
| 가슴이 답답하고 체한 것 같은 증상: 명치가 꽉 막힌 느낌 (0) | 2025.08.25 |
|---|---|
| 입냄새 제거방법 9계명 (0) | 2025.08.11 |
| 땅콩 효능과 부작용, 칼로리 (0) | 2025.06.19 |
| 슬기로운 감빵생활 스티브 블래스 증후군 이란? Steve Blass syndrome (0) | 2025.05.15 |
| 아욱 된장국 끓이는 법, 아욱 효능 (0) | 2025.01.22 |